
Dr. Arti
Dental Surgeon + Public Health Professional
Bridging clinical dentistry and AI research, using hands-on patient care to build annotated datasets and YOLO-based diagnostic models for dental imaging.
3+
Years Experience
100+
Patients Treated
200+
Procedures
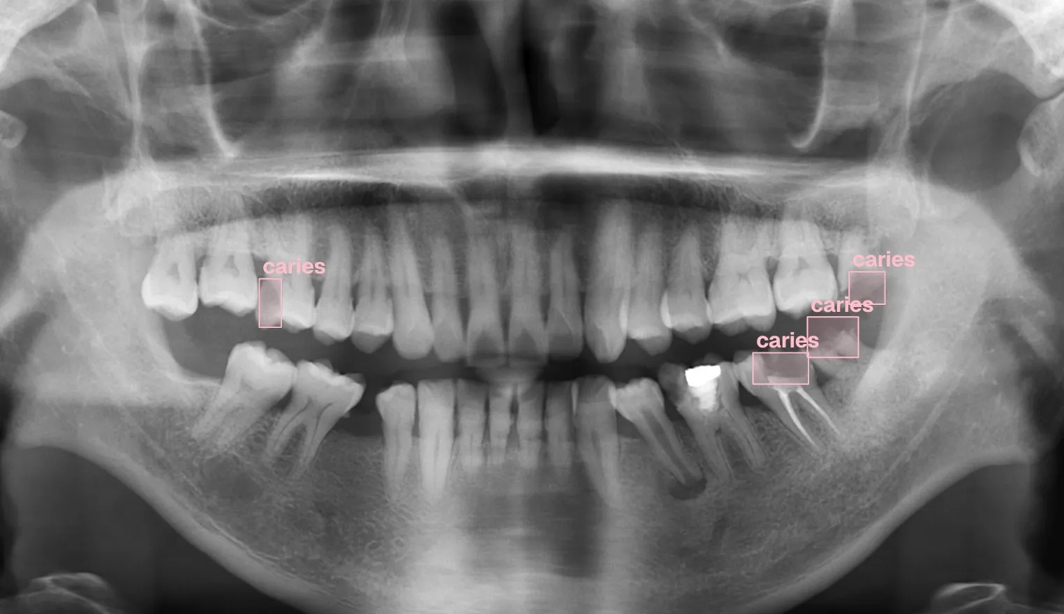
AI in Dental Diagnostics
Building computer vision datasets and training YOLO models for automated dental pathology detection on panoramic X-rays.
View all on UltralyticsDatasets





Trained Models


Clinical Foundations
The clinical experiences that built my domain expertise and now inform every annotation, dataset, and AI model I create.
- Advanced oral surgery including impaction management
- 200+ procedures providing ground-truth for AI annotations
- Emergency cases shaping edge-case dataset coverage
- Multidisciplinary exposure across dental specialties
- 100+ patients screened per camp
- Identified caries patterns feeding AI dataset design
- Preventive care initiatives in underserved communities
- Public health data collection informing research priorities
- Crown and bridge work informing crown detection model
- Root canal therapy guiding RCT dataset annotations
- Filling restorations mapped to OBB detection dataset
- Full-mouth rehab cases for complex multi-class scenarios
Clinical & AI Skills
Clinical expertise honed through hands-on training, now paired with AI and computer vision skills to build diagnostic tools.
Know Me Better
A dental professional combining clinical expertise with AI research to build smarter diagnostic tools for dentistry.

Dr. Arti
Dental Surgeon + Public Health Professional
3+
Years Experience
100+
Patients Treated
200+
Procedures
About
I am a dental surgeon who builds AI diagnostic tools for dentistry. My clinical experience, from oral surgery to restorative care, gives me the domain expertise to curate high-quality annotated datasets and train YOLO-based detection models.
Hands-on training at Sir Ganga Ram Hospital and public health research at JNU shaped how I design datasets. Every annotation reflects real clinical knowledge, and every model is built to address gaps I've seen firsthand in patient care.
Education
Master of Public Health (MPH)
Jawaharlal Nehru University (JNU)
New Delhi | 2022 - 2024
Bachelor of Dental Surgery (BDS)
Sardar Patel Post Graduate Institute of Dental & Medical Sciences
Lucknow | 2016 - 2021
Certifications
What I Do
Clinical Dentistry
Oral surgery, restorative care, and patient management. The clinical foundation behind every dataset.
AI Dataset Curation
Annotating dental X-rays with clinician-grade precision for object detection and OBB tasks.
YOLO Model Training
Training and publishing YOLO-based detection models for dental diagnostics on Ultralytics Hub.
Public Health Research
Epidemiological studies and community outreach that identify where AI can close diagnostic gaps.
Experience & Education
A clinical timeline that laid the foundation for my AI research. Every role shaped the datasets and models I build today.
Work Experience
Dental Resident
Sir Ganga Ram Hospital
Completed intensive residency program in one of India's leading multi-specialty hospitals. Gained extensive experience in advanced dental procedures, emergency care, and multidisciplinary patient management.
- •Performed 200+ procedures, a caseload that shaped annotation guidelines for AI datasets
- •Managed impacted tooth cases now reflected in the 1,000+ image detection dataset
- •Emergency case exposure informed edge-case coverage in training data
Dental Intern
Sardar Patel Post Graduate Institute of Dental & Medical Sciences
Comprehensive dental internship covering all aspects of clinical dentistry. Rotated through various departments gaining hands-on experience in diverse dental specialties.
- •Rotated through 8 specialties, building the clinical breadth needed for multi-class datasets
- •Treated 300+ patients across restorative, surgical, and preventive cases
- •Dental camp participation revealed community diagnostic gaps that motivated AI research
Education
Master of Public Health (MPH)
Jawaharlal Nehru University (JNU)
Specialized in health policy and epidemiology, combining dental expertise with public health knowledge to address community health challenges.
Bachelor of Dental Surgery (BDS)
Sardar Patel Post Graduate Institute of Dental & Medical Sciences
Comprehensive dental education with hands-on clinical training. Graduated with strong foundation in all dental specialties.
Contact Me
Interested in AI research collaboration, dataset partnerships, or dental care? I'd love to hear from you.
Contact Information
Location
New Delhi, India
Let's Connect
Whether you're exploring AI collaboration on dental datasets, looking for clinical consultation, or just want to connect professionally, I'm always open to meaningful conversations.
Response time: Usually within 24-48 hours